Home
About Mr Aldaadaa
Oral Surgery
Implant Dentistry
Conscious Sedation
Non-Surgical Facial Aesthetics
Transformations
Education
Publications
Fees
Referrals
Blog
Contact Me
Menu
I would like to
Replacement of Teeth
Missing teeth
Select a Location
SW1 Dental - SW1P 3LT
Twoth Dental - NW8 7SH
OrthoSmile - SW5 9AH
The Orthodontic Suite - SE21 8SZ
The Oxford Smile Clinic - OX11 8RN
London Smile Care - W1G 6LD
020 7222 3002
Referrals
Contact Me
About Mr Aldaadaa
Procedures
Transformations
Education
Publications
Referrals
020 7222 3002
Contact Me
Select a Location
SW1 Dental - SW1P 3LT
Twoth Dental - NW8 7SH
OrthoSmile - SW5 9AH
The Orthodontic Suite - SE21 8SZ
The Oxford Smile Clinic - OX11 8RN
London Smile Care - W1G 6LD
Patients
Dentist
Transformations
Home
/
Transformations
Select a Location
SW1 Dental - SW1P 3LT
Twoth Dental - NW8 7SH
OrthoSmile - SW5 9AH
The Orthodontic Suite - SE21 8SZ
The Oxford Smile Clinic - OX11 8RN
London Smile Care - W1G 6LD
Referrals
Contact Me
I would like to
Replacement of Teeth
Missing teeth
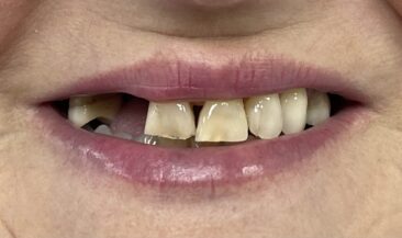
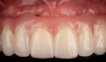
Single arch/ all on 5 full Zirconia fixed bridge
Read More
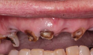
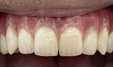
Single arch/ all on 4 PMMA hybrid fixed bridge
Read More
Single implant in the aesthetic zone
Read More
Single arch/ all on 6 Zirconia fixed bridge
Read More
Upper arch/ all on 6 Zirconia fixed bridge
Read More
1
2
3
Next
Ask Mr. Aldaadaa
Notice: JavaScript is required for this content.
Patients
Dentists
Read Now
Publications
Read More
Book Now
Procedures
Read More
View Now
Transformations
Read More
View on Instagram
About Mr Aldaadaa
Procedures
Transformations
Education
Publications
Referrals
Dentist
Patients
Referrals
Contact Me